✨ La ortodoncia invisible más avanzada de Madrid

Sonríe sin complejos
con ortodoncia invisible

Alineadores transparentes · Resultados en 6-24 meses · Sin brackets

La solución perfecta para niños, adultos y adolescentes que quieren corregir su sonrisa de forma discreta y cómoda

Primera consulta gratuita
Planes de pago a tu medida
+500 pacientes satisfechos
Tecnología 3D avanzada
6-24
meses de duración
100%
invisible
0€
primer estudio
100%
satisfacción

Scroll

✨ NUESTRAS VENTAJAS

¿Por qué elegir Clínica Pradillo?

Somos especialistas en ortodoncia invisible en Madrid, con la tecnología más avanzada y un equipo comprometido con tu sonrisa perfecta

🎯

Resultados garantizados

Planificación digital en 3D antes de empezar. Verás tu resultado final antes de comenzar el tratamiento.

👨‍⚕️

Equipo especializado

Ortodoncistas colegiados con más de 15 años de experiencia en ortodoncia invisible y estética dental.

💎

Tecnología 3D avanzada

Escáner intraoral digital de última generación. Sin moldes tradicionales, todo digital y preciso.

📱

Seguimiento continuo

Revisiones cada 4-8 semanas y atención personalizada. Estaremos contigo en cada paso del camino.

📍

Ubicación céntrica en Madrid

En el barrio de Prosperidad (Chamartín). Fácil acceso por metro (Concha Espina, Cruz del Rayo, Prosperidad) y autobús. Parking cercano.

💳

Planes de pago a tu medida

Nos adaptamos a ti. Diseñamos tu plan a medida desde el primer día, sin extras. Hablemos de tu caso en una primera consulta gratuita y sin compromiso.

+500
Pacientes tratados
15+
Años de experiencia
100%
Satisfacción
5.0★
Valoración Google

Cientos de pacientes confían en nosotros para su tratamiento de ortodoncia invisible. ¿Por qué tú no?

Quiero mi valoración gratuita
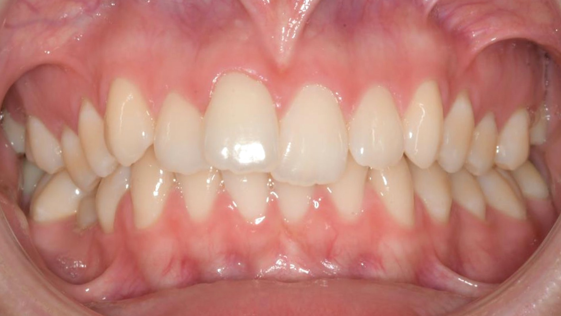
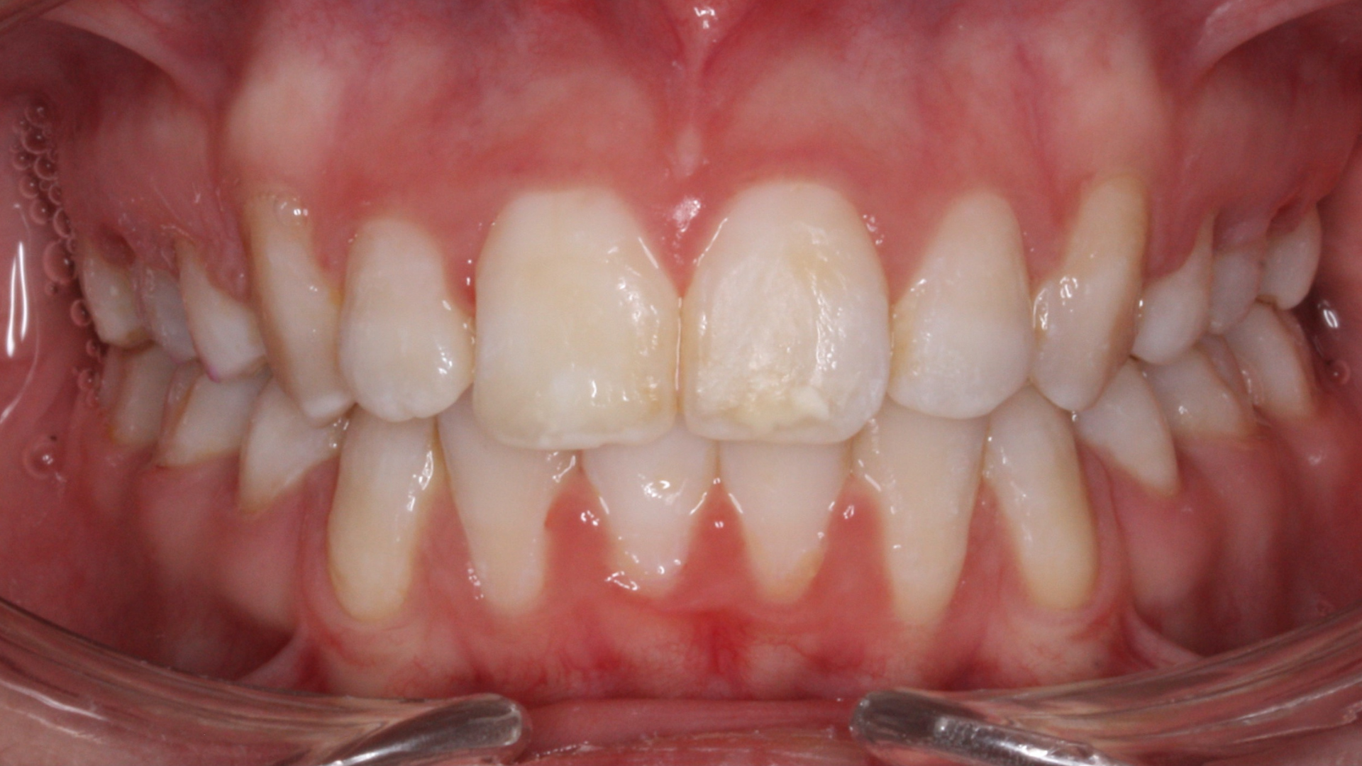
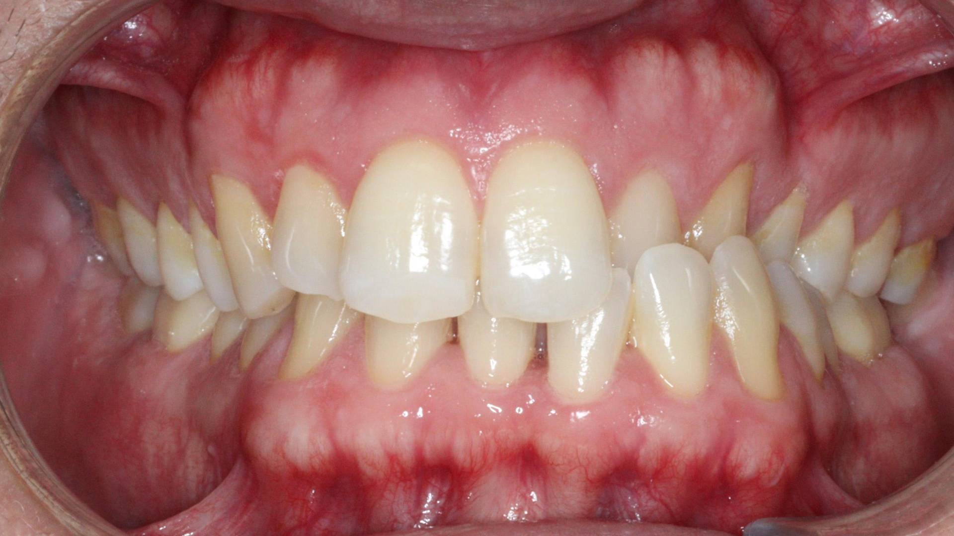
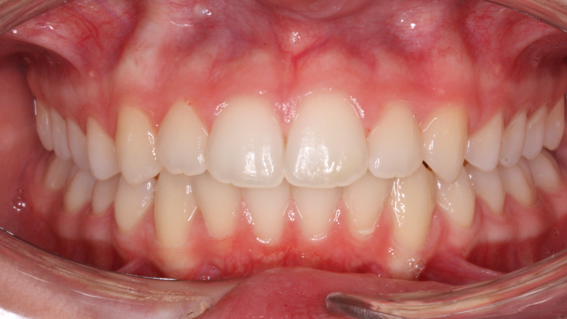
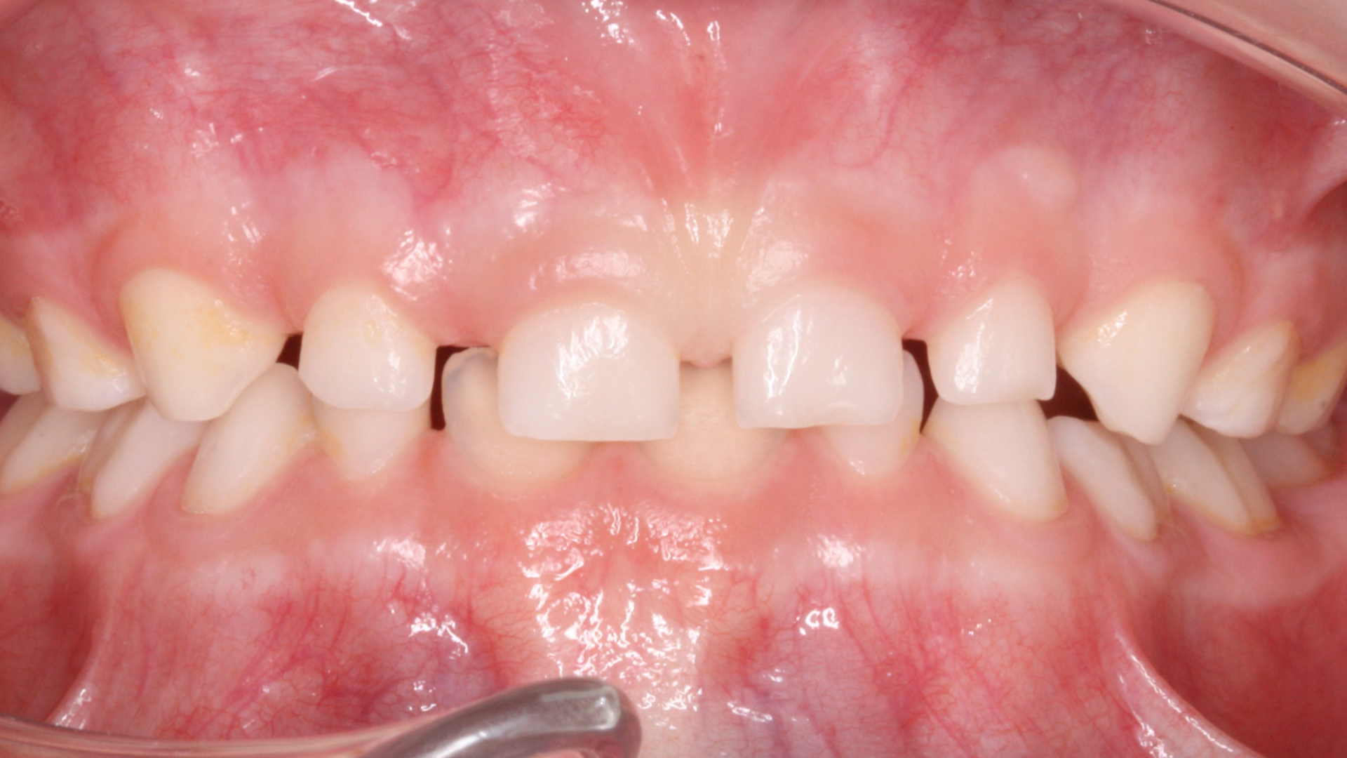
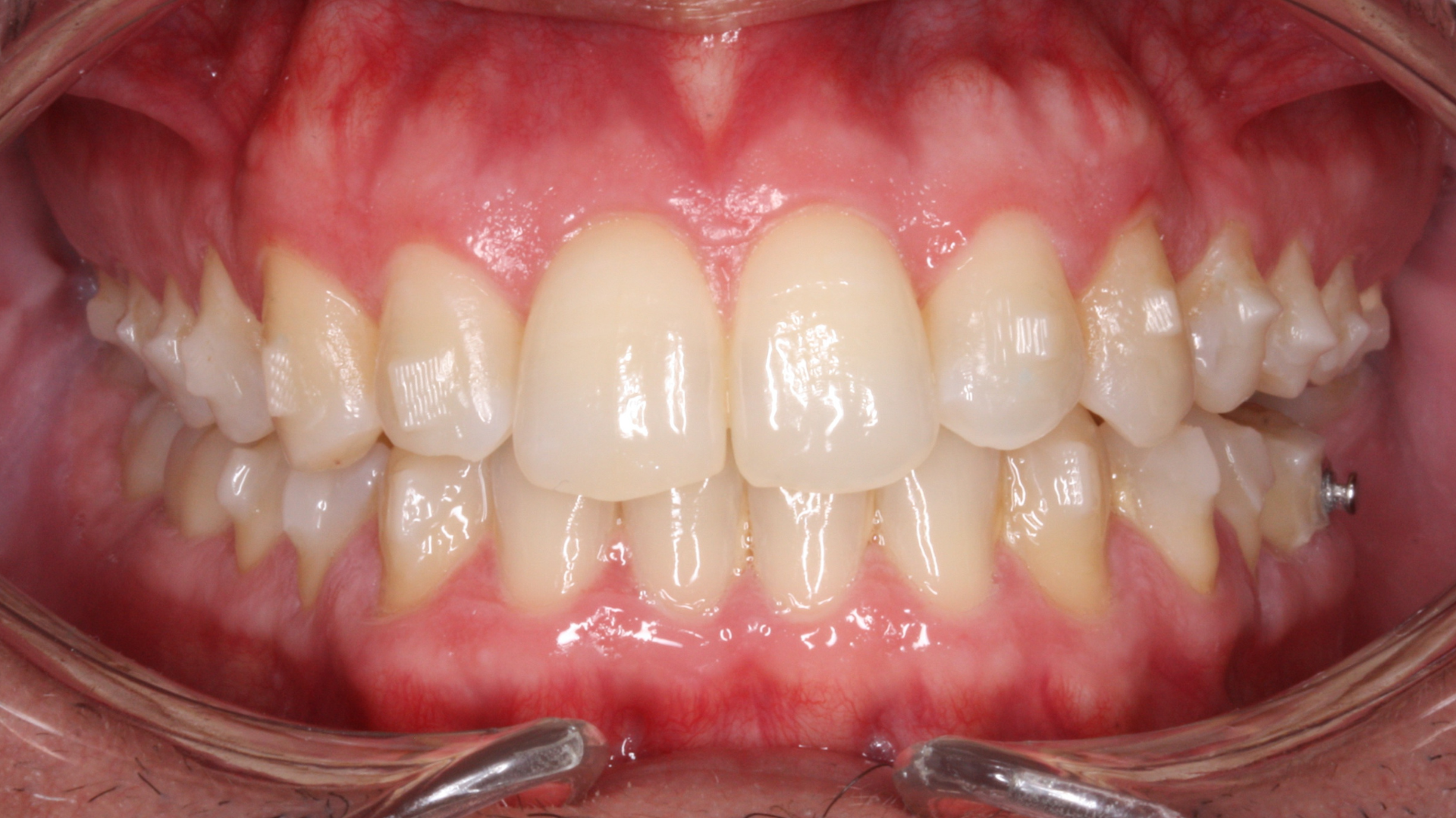
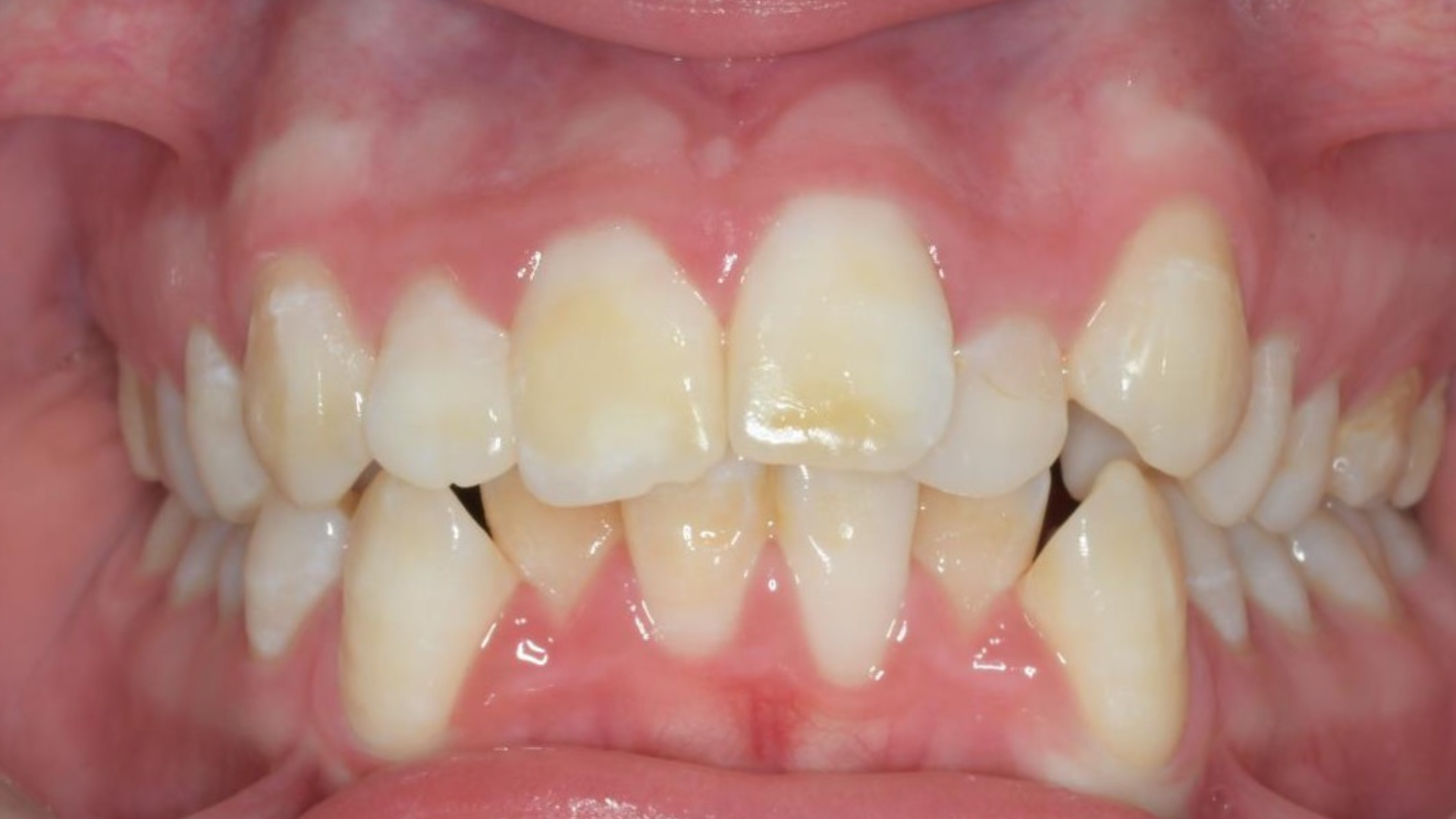
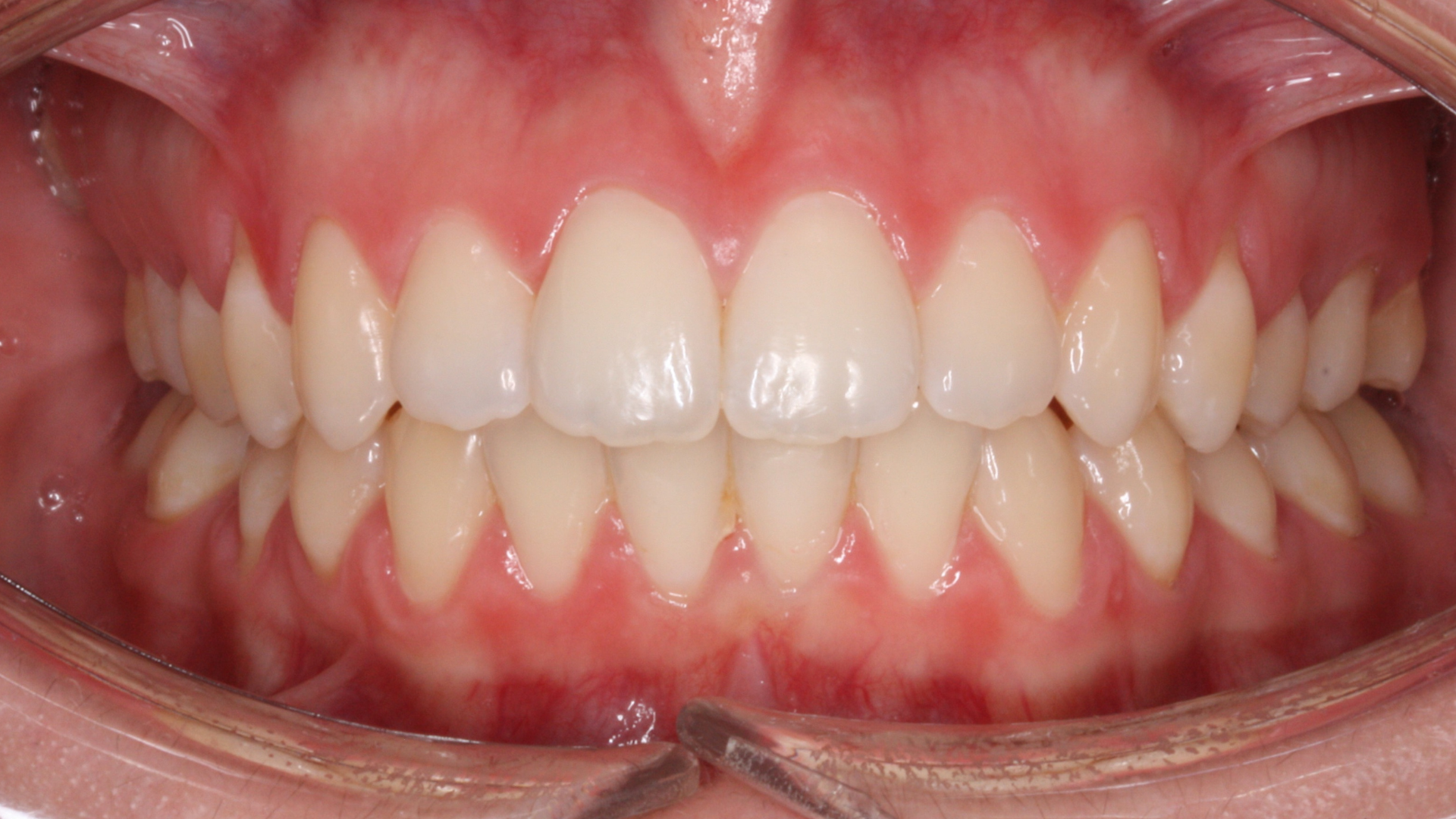
📸 RESULTADOS REALES

Casos reales de nuestros pacientes

Desliza para ver la transformación. Resultados reales de pacientes tratados en nuestra clínica.

Caso 1 de 5
📋 PROCESO SIMPLE Y CLARO

¿Cómo funciona el tratamiento?

Un proceso sencillo, cómodo y totalmente personalizado en solo 5 pasos

📋

Primera consulta gratuita

Te recibiremos en nuestra clínica de Prosperidad para conocerte y evaluar tu caso. Realizamos un examen completo de tu boca, dientes y mordida. Resolveremos todas tus dudas sin compromiso.

Duración: 30-45 minutos · Sin coste
1
🔬

Escáner digital 3D

Realizamos un escáner intraoral digital de tu boca. Es rápido, preciso y cómodo. Nada de moldes tradicionales incómodos. En pocos minutos tendremos un modelo 3D exacto de tus dientes.

Tecnología de última generación · Sin molestias
2
🎯

Plan de tratamiento personalizado

Diseñamos tu tratamiento a medida usando software 3D. Te mostramos una simulación completa: verás cómo quedarán tus dientes antes de empezar. Te explicamos cada fase, duración exacta y precio cerrado sin sorpresas.

Ver resultado antes de empezar · Precio transparente
3
⚙️

Fabricación de tus alineadores

Fabricamos tu serie completa de alineadores transparentes a medida. Cada uno está diseñado para mover tus dientes de forma gradual y controlada. Recibirás varios juegos para ir cambiando cada 7-10 días.

Material de alta calidad · Fabricación personalizada
4

Tratamiento y seguimiento continuo

Empiezas a usar tus alineadores (22 horas al día). Revisiones cada 4-8 semanas para verificar progreso. Te acompañamos en todo momento hasta conseguir tu sonrisa perfecta. ¡Resultados visibles desde el primer mes!

Duración media: 6-24 meses · Atención personalizada
5

¿Listo para empezar tu transformación?

Agenda tu primera consulta gratuita y descubre si la ortodoncia invisible es para ti. Sin compromiso, sin coste.

Pide tu valoración gratuita
👩‍⚕️ NUESTRO EQUIPO

Conoce a tus doctoras

Profesionales colegiadas con más de 15 años de experiencia en ortodoncia invisible. Tu sonrisa está en las mejores manos.

Dra. Montse Velayos - Directora Médica

Dra. Montse Velayos

Directora Médica · ATM · Estética Dental

"Tu sonrisa es tu carta de presentación y merece un cuidado experto, pero también humano. Mi compromiso es simple: excelencia técnica, trato familiar y que consigas esa sonrisa que siempre has deseado, sintiéndote en casa. Te garantizo un diagnóstico transparente y un plan realista que se adapte a tu ritmo de vida"
+20 Años de Experiencia
Colegiada Nº 28007757
Dra. Mercedes Galán - Ortodoncista

Dra. Mercedes Galán

Ortodoncia · Odontopediatría

"Ver cómo un paciente vuelve a sonreír sin complejos es lo que me mueve cada día. Entiendo que cada persona es un mundo, por eso me vuelco en conocerte y entender tus necesidades. Sé que empezar un tratamiento de ortodoncia es un gran paso, por eso mi objetivo es que te sientas acompañado/a y seguro/a en cada revisión. Diseñaré tu sonrisa para que recuperes la confianza en ti mismo/a, sin prisas y con el trato humano que te mereces."
+15 Años de Experiencia
Colegiada Nº 28013374

Colegio Oficial de Dentistas de Madrid

Todas nuestras doctoras están colegiadas y cumplen con los más altos estándares de calidad profesional

Ya conoces a tu equipo. ¿Hablamos?

Primera consulta 100% gratuita y sin compromiso

Pedir cita gratuita
Sin compromiso
Respuesta en 24h
Estudio 3D incluido
⭐ OPINIONES REALES

Lo que dicen nuestros pacientes

Más de 500 sonrisas transformadas. Lee las experiencias reales de quienes ya confiaron en nosotros

5.0
★★★★★
Google
100%
Recomiendan
nuestro servicio
+500
Pacientes
satisfechos
"
★★★★★

"Comparto totalmente las buenas opiniones que está recibiendo esta Clínica. Además de su magnífica actividad profesional, a mi me ha encantado el trato cariñoso que he recibido en todos mis tratamientos. La recomiendo de verdad a quien esté buscando una clínica dental de plena confianza"

M
Ana María
El Viso - Chamartín
Verificado
"
★★★★★

"Encontrar esta clínica ha sido un acierto. Excelentes profesionales, trato muy cercano y familiar. Unas instalaciones nuevas e impecables. Estoy encantada con todo el equipo. A partir de ahora será mi clínica dental de confianza ♥️"

J
Carmen
73 años - Madrid
Verificado
"
★★★★★

"Me he realizado una ortodoncia invisible y todo perfecto. 100% recomendado!"

L
Carlos
36 años - Chamartín
Verificado
"
★★★★★

"Hemos tenido una primera visita con Montse y solo puedo decir que ha sido una maravilla el trato: comprensiva y empática, nos ha escuchado y enseguida ha sabido aconsejarnos y ofrecernos un diagnóstico. Había visto buenas opiniones en Google, pero después de ir en persona, me queda clarísimo el por qué. Sin duda, muy recomendable."

C
Carmen
45 años · Chamartín
Verificado
"
★★★★★

"Acabo de salir de mi cita en esta clínica dental y no podría estar más satisfecho. Desde el primer momento, el trato ha sido excepcional: un equipo realmente amable, muy empático y siempre dispuesto a escuchar y a tranquilizarte. Se nota que no solo son profesionales en lo que hacen, sino que también ponen un cuidado especial en el trato humano. Sin duda, un lugar al que volveré y que recomiendo a cualquiera que busque una atención dental de confianza y con una calidez humana inigualable."

A
Daniel
39 años · Prosperidad
Verificado
"
★★★★★

"Muy buena clínica dental. Los tratamientos realizados aquí han ido siempre como la seda. El seguimiento de los mismos también es muy bueno. Muy buen trato por parte del equipo. Gente honesta, dando explicaciones claras del problema y el tratamiento a realizar. Relación calidad/precio de 10. Vamos, que la recomiendo al 100%."

P
Julio
31 años · Madrid
Verificado

¿Quieres ser el siguiente en transformar tu sonrisa?

Únete a los más de 500 pacientes que ya han confiado en Clínica Pradillo para su ortodoncia invisible

Reserva tu consulta gratuita
📅 ÚLTIMO PASO

Reserva tu consulta gratuita

Completa el formulario y nos pondremos en contacto contigo en menos de 24 horas para agendar tu cita

¿Qué incluye tu primera consulta?

🔍
Estudio completo gratis
Valoración profesional de tu caso sin coste
💎
Radiografía panorámica
Análisis completo de todos tus dientes
💰
Presupuesto detallado
Precio cerrado sin sorpresas + planes de pago a tu medida
⏱️
Sin compromiso
Tómate tu tiempo para decidir, sin presiones

📞 ¿Prefieres llamarnos?

91 673 85 78 644 41 04 18

Lun-Vie: 10:30h - 13:30h
Lun-Jue: 17:00h - 20:00h


📍 Nuestra ubicación

Calle Pradillo 8
28002 Madrid (Prosperidad)
Ver en Google Maps →

🔒 Tus datos están seguros. No compartimos tu información con terceros.

❓ RESUELVE TUS DUDAS

Preguntas frecuentes

Todo lo que necesitas saber sobre la ortodoncia invisible en Clínica Pradillo

Sobre el tratamiento

¿Qué es la ortodoncia invisible y cómo funciona?

+

La ortodoncia invisible es un tratamiento que utiliza alineadores transparentes removibles hechos a medida para mover tus dientes progresivamente hasta la posición deseada. Cada alineador se usa durante 7-10 días y luego se cambia por el siguiente de la serie. Cada juego está diseñado digitalmente para realizar movimientos específicos de forma gradual y controlada. Es discreto y prácticamente invisible, por lo que nadie notará que lo llevas puesto.

¿Cuánto dura el tratamiento de ortodoncia invisible?

+

La duración del tratamiento varía según la dificultad de cada caso, pero normalmente oscila entre 6 y 24 meses. En tu primera consulta gratuita, realizaremos un estudio completo y te diremos exactamente cuánto tiempo necesitarías en tu caso particular. Los casos más sencillos pueden resolverse en 6-8 meses, mientras que los más complejos pueden requerir hasta 18-24 meses. La ventaja es que sabrás desde el principio cuánto durará tu tratamiento.

¿Es doloroso el tratamiento con alineadores invisibles?

+

No, el tratamiento no es doloroso. El 100% de nuestros pacientes se adaptan perfectamente desde el primer día sin apenas molestias.

¿Puedo comer y beber con los alineadores puestos?

+

Puedes beber agua con los alineadores puestos, pero para comer y beber otras bebidas (especialmente calientes o con color) debes quitártelos. Esto es una gran ventaja: no hay restricciones alimentarias como con los brackets. Simplemente te quitas los alineadores, comes lo que quieras, te cepillas los dientes y te los vuelves a poner. Debes llevarlos puestos entre 20-22 horas al día para que el tratamiento sea efectivo.

Precio y planes de pago a tu medida

¿Cuánto cuesta la ortodoncia invisible en Clínica Pradillo?

+

El precio del tratamiento varía según la complejidad de cada caso y la duración necesaria. En términos generales, nuestros tratamientos de ortodoncia invisible parten desde 2.495€ para casos sencillos, siendo más económicos que los tratamientos con brackets. En tu primera consulta gratuita te daremos un presupuesto cerrado y personalizado sin compromiso. Además, ofrecemos planes de pago a tu medida, para que puedas empezar tu tratamiento sin preocuparte por el pago.

¿Qué incluye el precio del tratamiento?

+

El precio incluye TODO lo necesario para tu tratamiento: estudio inicial completo, escáner 3D digital, planificación con software avanzado, fabricación de todos los alineadores necesarios, todas las revisiones durante el tratamiento (cada 4-8 semanas), seguimiento continuo por nuestro equipo de ortodoncistas, y cualquier urgencia que pudiera surgir. No hay costes ocultos ni sorpresas. El precio que te damos en la primera consulta es el precio final.

Sobre Clínica Pradillo

¿La primera consulta es realmente gratuita y sin compromiso?

+

Sí, completamente gratuita y sin ningún tipo de compromiso. En esta primera visita haremos una evaluación completa de tu boca, una radiografía panorámica para ver el estado de todos tus dientes y te explicaremos si eres candidato para ortodoncia invisible. También te daremos un presupuesto detallado y, si lo necesitas, haremos un plan de pago a tu medida. Podrás tomarte todo el tiempo que necesites para decidir, sin ninguna presión. Una vez aceptes el presupuesto, se realiza el escaneado digital 3D y te mostramos una simulación de cómo quedarían tus dientes.

¿Dónde está ubicada Clínica Pradillo y cómo puedo llegar?

+

Estamos en pleno corazón del barrio de Prosperidad (Chamartín), en la Calle Pradillo 8, 28002 Madrid. La ubicación es muy accesible: a pocos minutos andando de las estaciones de metro Concha Espina, Cruz del Rayo y Prosperidad (líneas 7 y 9). También tienes varias líneas de autobús cercanas (5, 16, 29, 52) y parking público en la zona. Cerca del Auditorio Nacional y el Parque de Berlín. Horario: Lunes a Jueves de 10:30h a 13:30h y de 17:00 a 20:00, y Viernes de 10:30h a 13:00h.

¿Qué diferencia a Clínica Pradillo de otras clínicas?

+

En Clínica Pradillo nos diferenciamos por nuestra atención personalizada y cercana y por la dedicación y el cariño que ponemos en todo lo que hacemos. Todos nuestros ortodoncistas están colegiados y tienen más de 15 años de experiencia. Utilizamos la tecnología 3D más avanzada para que veas tu resultado antes de empezar. Ofrecemos precios competitivos y planes de pago a tu medida. Pero sobre todo, nos tomamos el tiempo necesario para conocerte, entender tus expectativas y acompañarte en cada paso del camino. Más de 500 pacientes satisfechos nos avalan.

Resultados y mantenimiento

¿Cuándo empezaré a ver resultados?

+

Los cambios son visibles a partir del primer mes de tratamiento. Los resultados varían según cada caso, pero generalmente en las primeras 4-8 semanas ya se aprecia cómo los dientes comienzan a moverse hacia su posición correcta. A los 3 meses el cambio suele ser evidente. Y lo mejor es que como llevas los alineadores puestos, tú mismo irás viendo la evolución día a día. Es muy gratificante ver cómo tu sonrisa va mejorando progresivamente.

¿Qué pasa cuando termine el tratamiento? ¿Se me moverán los dientes?

+

Al finalizar el tratamiento, deben colocarse retenedores que deberás usar por la noche para mantener los resultados. Los dientes tienen "memoria" y tienden a volver a su posición original si no se retienen. Con los retenedores nocturnos, tus resultados se mantendrán de forma permanente. Es un paso fundamental que todos nuestros pacientes siguen.

¿Puedo hacerme ortodoncia invisible si tengo empastes o coronas?

+

Sí, por supuesto. Los empastes, coronas, implantes y puentes no impiden el tratamiento con ortodoncia invisible. Durante la primera consulta evaluaremos el estado de tus restauraciones dentales y te confirmaremos si eres candidato. En ocasiones muy específicas puede ser necesario realizar algún ajuste previo, pero esto es poco frecuente. Lo importante es que vengas a la consulta gratuita para que nuestro equipo valore tu caso particular y te dé una respuesta personalizada.

¿Tienes más preguntas?

Reserva tu consulta gratuita y resuelve todas tus dudas personalmente con nuestro equipo de ortodoncistas

Pide tu cita gratuita

O llámanos directamente al 91 673 85 78

✨ La ortodoncia invisible más avanzada de Madrid

Sonríe sin complejos
con ortodoncia invisible

Alineadores transparentes · Resultados en 6-24 meses · Sin brackets

La solución perfecta para niños, adultos y adolescentes que quieren corregir su sonrisa de forma discreta y cómoda

Primera consulta gratuita
Planes de pago a tu medida
+500 pacientes satisfechos
Tecnología 3D avanzada
6-24
meses de duración
100%
invisible
0€
primer estudio
100%
satisfacción

Scroll

Scroll al inicio